原島歯科医院外観
県道67号線沿いでわかりやすい立地です。お気軽にお越しください。
駐車場は当医院の目の前と駐輪場の横の道を住宅街の方へ進むと
右手側に原島歯科医院の看板がある砂利の所になります。
HOME ≫ 院内紹介 ≫
県道67号線沿いでわかりやすい立地です。お気軽にお越しください。
駐車場は当医院の目の前と駐輪場の横の道を住宅街の方へ進むと
右手側に原島歯科医院の看板がある砂利の所になります。
丁寧な応対を心がけております。
ソファーでゆっくりとお待ちいただけます。
ご自由にお飲みいただけます。歯磨きもできます。

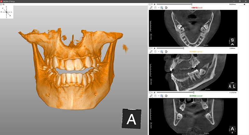
レントゲン写真、パノラマ写真、CTにも対応しています。

清潔と居心地の良さを心がけております。
この春から新しいユニットが導入され全部で4台になりました。
スマートフォンからのアクセスはこちら
【電話番号】
048-991-6480
【住所】
〒343-0111
埼玉県北葛飾郡松伏町松伏2882
【診療時間】
午前 9:00~12:00
午後14:00~19:00
土曜午後14:00~17:00
【休診日】
木・日・祝